Forscher der TU Wien und der Medizinischen Universität Wien haben thermoplastische Polyurethane für Blutgefäßprothesen entwickelt. Diese bauen sich nach und nach ab und werden durch natürlich Körpergewebe ersetzt. Verschlossene Blutgefäße […]

Langzeitversuche an der MedUni zeigen: Auch nach einem Jahr leistet das Blutgefäß noch gute Dienste. (Foto: MedUni Wien)
Forscher der TU Wien und der Medizinischen Universität Wien haben thermoplastische Polyurethane für Blutgefäßprothesen entwickelt. Diese bauen sich nach und nach ab und werden durch natürlich Körpergewebe ersetzt.
Verschlossene Blutgefäße können rasch gefährlich werden. Oft ist es notwendig, ein Blutgefäß zu ersetzen – entweder durch ein körpereigenes Blutgefäß oder aber durch künstlich hergestellte Gefäßprothesen. Die TU Wien und die Medizinische Universität Wien entwickelten nun gemeinsam künstliche Blutgefäße aus einem speziellen Elastomer-Material, das ausgezeichnete mechanische Eigenschaften hat. Diese künstlichen Blutgefäße werden im Laufe der Zeit durch körpereigenes Material ersetzt. Am Ende dieses Umbauprozesses ist wieder ein natürliches, vollständig funktionsfähiges Blutgefäß entstanden. Bei Ratten hat sich die Methode bereits bewährt.
Überleben durch künstliche Blutgefäße
Zu den häufigsten Todesursachen in Industrienationen gehören arteriosklerotische Gefäßerkrankungen. Eine Bypass-Operation ist dann oft die einzige Lösung. Normalerweise entnimmt man dafür Blutgefäße des Patienten und setzt sie statt des geschädigten Blutgefäßes ein. Dank eines gemeinsamen Projekts von TU Wien und Medizinischer Universität Wien sollen in Zukunft auch künstlich hergestellte Gefäße vermehrt zum Einsatz kommen.
Entscheidend dabei ist, ein passendes Material zu finden. Die künstlichen Materialien, die man bisher verwendete, vertragen sich nicht optimal mit dem körpereigenen Gewebe. Es kann dann leicht zu einem Verschluss des Blutgefäßes kommen, besonders wenn der Durchmesser gering ist.
An der TU Wien wurden daher neue Polymere entwickelt. „Es handelt sich um sogenannte thermoplastische Polyurethane“, erklärt Prof. Robert Liska vom Institut für angewandte Synthesechemie der TU Wien. „Durch die Auswahl ganz bestimmter molekularer Bausteine gelang es uns, ein Polymer mit den gewünschten Eigenschaften zu synthetisieren.“
Ein dünner Polymer-Faden, zur Röhre gesponnen
Zur Herstellung der Gefäßprothesen werden Polymerlösungen in einem elektrischen Feld zu sehr feinen Fäden gesponnen und auf eine Spule aufgewickelt. „Die Wand dieser künstlichen Blutgefäße ist natürlichen Blutgefäßen sehr ähnlich“, sagt Prof. Heinz Schima von der Medizinischen Universität Wien. Das Polymer-Gewebe ist leicht porös, daher sickert zunächst etwas Blut hindurch und reichert die Wand mit Wachstumsfaktoren an. Das begünstigt das Einwandern körpereigener Zellen. Die Interaktion zwischen Material und Blut wurde an der TU Wien von Prof. Martina Marchetti-Deschmann mit Hilfe von ortsaufgelöster Massenspektrometrie untersucht.

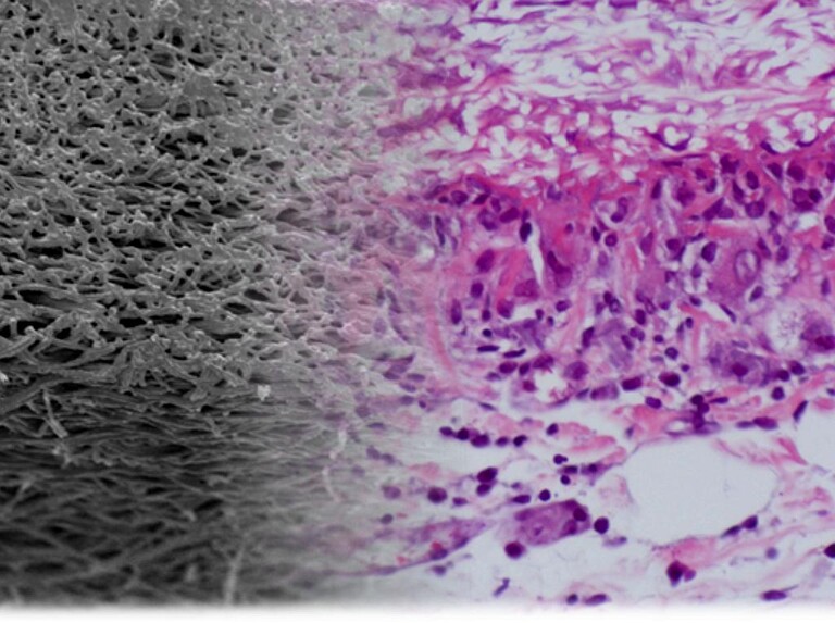
Das künstliche Material (l.) und das Biomaterial (r.) lassen sich gut kombinieren. (Foto: MedUni Wien)
Im Rattenexperiment war die neue Methode bereits sehr erfolgreich. „Sechs Monate nach dem Einsetzen der Gefäßprothesen wurden die Blutgefäße der Ratten untersucht“, sagt Dr. Helga Bergmeister von der MedUni Wien. „Es waren weder Aneurysmen noch Thrombosen oder Entzündungen festzustellen. Körpereigene Zellen hatten die Gefäßprothese besiedelt und das künstliche Konstrukt zu körpereigenem Gewebe umgewandelt.“ Das Nachwachsen körpereigenen Gewebes verläuft sogar schneller als man erwartet hatte, daher soll nun die Abbaudauer der Kunststoffröhren noch verringert werden. Daher wird derzeit noch an weiteren Anpassungen des Materials gearbeitet.
Vom Austria Wirtschaftsservice (AWS) wurde das Projekt kürzlich mit einer PRIZE Prototypenförderung ausgezeichnet. Bis die künstlichen Blutgefäße bei Menschen eingesetzt werden können, sind noch weitere präklinische Versuche notwendig. Doch aufgrund der bisherigen Ergebnisse ist das Forscherteam sehr zuversichtlich, dass sich die neue Methode in einigen Jahren auch beim Einsatz im Menschen bewähren wird.






